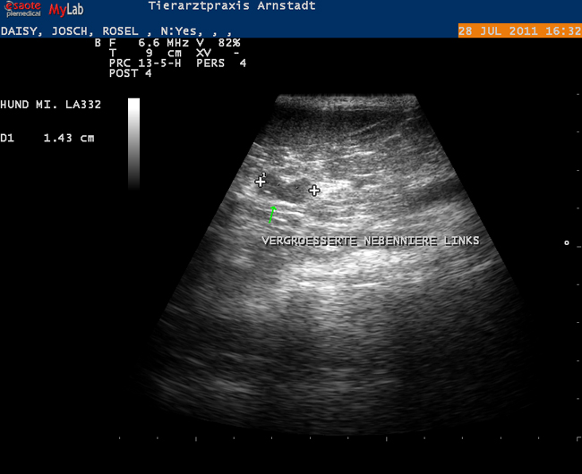
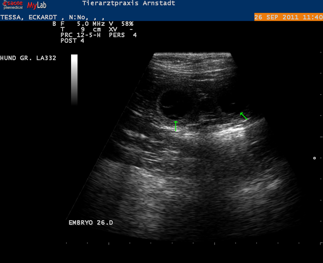
Ultraschall

Die Untersuchungstechnik mittels Ultraschall ist insbesondere im Weichteilgewebe geeignet, Befunde zu erheben.
Wir führen in unserer Praxsis abdominale sowie kardiologische Ultraschalluntersuchungen durch.

Beispiele:

USträchtigkeit31Tage1_80

milztumor60

zurück zur Leistungsübersicht

Ultraschall